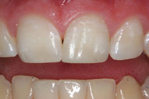
Situacija Nr. 1

Prieš
Po

  • Konsultacija
  • Nuskausminimas
  • Dantų akmenų pašalinimas skaleriu
  • Dantų pigmento nupurškimas soda
  • Individualios dantų higienos mokymas
Pilna gydymo kaina - 48 EUR


Situacija Nr. 2

Prieš
Po

  • Konsultacija
  • Rentgeno nuotrauka
  • Nuskausminimas
  • 26 danties gilaus karieso plombavimas
Pilna gydymo kaina - 55 EUR


Situacija Nr. 3

Prieš
Po

  • Konsultacija
  • Rentgeno nuotrauka
  • Nuskausminimas
  • 15 danties gilaus karieso plombavimas
  • 16 danties gilaus karieso plombavimas
  • 17 danties gilaus karieso plombavimas
Pilna gydymo kaina - 165 EUR


Situacija Nr. 4

Prieš
Po

  • Konsultacija
  • Atspaudų nuėmimas
  • Abiejų žandikaulių individualios balinimo kapos
  • Vienas švirkštas Densply balinimo želės
Pilna gydymo kaina - 150 EUR


Situacija Nr. 5

Prieš
Po

  • Konsultacija
  • Rentgeno nuotrauka
  • Nuskausminimas
  • Centrinio kandžio estetinis plombavimas
Pilna gydymo kaina - 87 EUR


Situacija Nr. 6

Prieš
Po

  • Konsultacija
  • Rentgeno nuotrauka
  • Nuskausminimas
  • Centrinių kandžių estetinis plombavimas
Pilna gydymo kaina - 173 EUR


Situacija Nr. 7

Prieš
Po

  • Konsultacija
  • Rentgeno nuotrauka
  • Atspaudų nuėmimas
  • Abiejų žandikaulių individualios balinimo kapos
  • Vienas švirkštas Densply balinimo želės
  • Nuskausminimas
  • Centrinių kandžių estetinis plombavimas
Pilna gydymo kaina - 338 EUR


Situacija Nr. 8

Prieš
Po

  • Konsultacija
  • Rentgeno nuotrauka
  • Nuskausminimas
  • Atspaudų nuėmimas
  • Laikinas vainikėlis
  • 36 danties protezavimas metalo keramikos vainikėliu
Pilna gydymo kaina - 298 EUR


Situacija Nr. 9

Prieš
Po

  • Konsultacija
  • Rentgeno nuotrauka
  • Nuskausminimas
  • Atspaudų nuėmimas
  • Laikinas vainikėlis
  • Centrinio kandžio protezavimas cirkonio keramika
Pilna gydymo kaina - 434 EUR


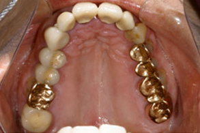
Situacija Nr. 10

Prieš
Po

  • Konsultacija
  • Rentgeno nuotrauka
  • Nuskausminimas
  • Atspaudų nuėmimas
  • Laikini vainikėliai
  • 45, 46, 47 dantų protezavimas metalo keramika
Pilna gydymo kaina - 867 EUR


Situacija Nr. 11

Prieš
Po

  • Konsultacija
  • Rentgeno nuotrauka
  • Nuskausminimas
  • Centrinių ir dešiniojo šoninio kandžio estetinis plombavimas
  • Atspaudų nuėmimas
  • Laikinas vainikėlis
  • Kairiojo šoninio kandžio protezavimas cirkonio keramikos vainikeliu
Pilna gydymo kaina - 750 EUR


Situacija Nr. 12

Prieš
Po

  • Konsultacija
  • Rentgeno nuotrauka
  • Nuskausminimas
  • Atspaudų nuėmimas
  • Laikini vainikėliai
  • Centrinių kandžių protezavimas cirkonio keramika
Pilna gydymo kaina - 868 EUR


Situacija Nr. 13

Prieš
Po

  • Konsultacija
  • Rentgeno nuotrauka
  • Implantavimas
  • Nuskausminimas
  • Atspaudų nuėmimas
  • Laikinas vainikėlis
  • Centrinio kandžio protezavimas cirkonio keramika
Pilna gydymo kaina - 1098 EUR


Situacija Nr. 14

Prieš
Po

  • Konsultacija
  • Rentgeno nuotrauka
  • Nuskausminimas
  • Atspaudų nuemimas
  • Laikini vainikėliai
  • Keturių kandžių protezavimas cirkonio keramika
Pilna gydymo kaina - 1738 EUR


Situacija Nr. 15

Prieš
Po

  • Konsultacija
  • Rentgeno nuotrauka
  • Nuskausminimas
  • Atspaudų nuėmimas
  • Laikini vainikėliai
  • Viso viršutinio žandikaulio protezavimas metalo keramika
Pilna gydymo kaina - 4054 EUR


Pirminė apžiūra ir konsultacija NEMOKAMA, tad maloniai kviečiame
pasikonsultuoti su mūsų odontologais!